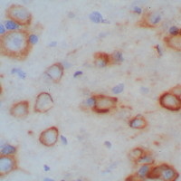
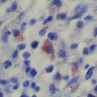
In Situ Hybridization (ISH) is a powerful technique for localizing specific nucleic acid targets within fixed tissues and cells, allowing you to obtain temporal and spatial information about gene expression and genetic loci.
INTRODUCTION
BioTnA
ISH detection kits are designed by Chromogenic In Situ Hybridization (CISH) in formalin-fixed, paraffin-embedded tissue sections, cell samples, blood or bone marrow smears, and metaphase chromosome spreads.
ADVANTAGES OF CISH OVER FISH
- Quick and easy interpretation of results comparable to IHC
- Simultaneous observation of tissue morphology and CISH signals
- Storage of slides at room temperature – CISH signals are permanent
- No costly fluorescent microscope needed.
Pretreatment Step
- De-wax, and rehydration
- Nuclear acid protection
- Heat treatment
- Enzyme treatment
- Probe Hybridization 37°C, 16 hr
Detection Step
- Non-specific blocking
- Anti-DIG
- Polymer HRP conjugated
- DAB development
- Counterstain 20~60s
- Covering and reading
PRODUCTS
- BioSpot ISH Kit For DIG probe
- BioSpot ISH Kit For Biotin probe
- BioSpot ISH Duoprobe detection Kit
- Ancillaries for ISH


